
فک و صورت یکی از پیچیده ترین نواحی بدن از نظر آناتومی، عصب ها، عضلات و ارتباط با دندان ها و راه هوایی است. هر تصمیم درمانی اشتباه در این ناحیه می تواند روی تنفس، جویدن، صحبت کردن و حتی زیبایی چهره تاثیر جدی بگذارد. به همین دلیل دقت در تشخیص و برنامه ریزی جراحی فک اهمیت بسیار بالایی دارد. در سال های اخیر، فناوری تصویربرداری سه بعدی مانند سی بی سی تی، سی تی اسکن های با دوز کم و اسکن های نوری دیجیتال، تحول بزرگی در تشخیص و جراحی فک ایجاد کرده اند و به جراح فک و صورت کمک می کنند تا قبل از شروع عمل، تصویر دقیقی از ساختار های استخوانی، دندانی و بافت های اطراف در اختیار داشته باشد.

در این مقاله به زبان ساده و در عین حال با تکیه بر منابع علمی معتبر، نقش تصویربرداری سه بعدی در تشخیص و برنامه ریزی جراحی فک را بررسی می کنیم. ابتدا مفهوم تصویربرداری سه بعدی و تفاوت آن با رادیوگرافی های دو بعدی سنتی را توضیح می دهیم، سپس انواع تکنولوژی های رایج مانند سی بی سی تی و سی تی پزشکی را معرفی می کنیم. بعد از آن کاربرد های این فناوری در تشخیص ناهنجاری های فکی، نقایص استخوان، مشکلات مفصل فکی گیجگاهی و برنامه ریزی دقیق جراحی فک را مرور می کنیم. در ادامه، مزایا و محدودیت ها، بحث دوز اشعه و ایمنی، و آینده این فناوری شامل هوش مصنوعی و واقعیت مجازی نیز مطرح می شود. توجه داشته باشید این مقاله فقط برای افزایش آگاهی شما است و به هیچ عنوان جایگزین ویزیت حضوری و تشخیص پزشک نیست. اگر دچار مشکل فکی یا نیازمند جراحی هستید، حتما باید توسط متخصص جراحی دهان و فک و صورت یا ارتودنتیست معاینه و درمان شوید.
فهرست مطالب
- تعریف تصویربرداری سه بعدی در جراحی فک چیست
- تصویربرداری سه بعدی در مقایسه با رادیوگرافی دو بعدی فک
- انواع فناوری تصویربرداری سه بعدی در فک و صورت
- نقش تصویربرداری سه بعدی در تشخیص ناهنجاری های اسکلتی فک
- نقش تصویربرداری سه بعدی در برنامه ریزی جراحی فک
- کاربرد تصویربرداری سه بعدی در جراحی ارتوگناتیک و اصلاح ناهنجاری فک
- نقش تصویربرداری سه بعدی در ایمپلنت، پیوند استخوان و جراحی های همراه
- مزایا و معایب تصویربرداری سه بعدی در جراحی فک
- ایمنی، دوز اشعه و نکات احتیاطی در تصویربرداری سه بعدی فک
- آینده تصویربرداری سه بعدی در جراحی فک: هوش مصنوعی و واقعیت مجازی
- جمع بندی نقش تصویربرداری سه بعدی در تشخیص و جراحی فک
- سوالات متداول درباره تصویربرداری سه بعدی در جراحی فک
- منابع علمی و رفرنس ها
تعریف تصویربرداری سه بعدی در جراحی فک چیست
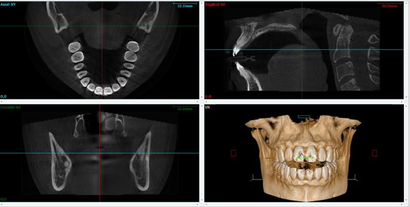
تصویربرداری سه بعدی در حوزه فک و صورت به مجموعه تکنولوژی هایی گفته می شود که امکان مشاهده ساختار های استخوانی، دندانی و در بعضی موارد بافت نرم را به صورت حجمی و سه بعدی فراهم می کنند. برخلاف رادیوگرافی های معمولی که یک تصویر تخت و دو بعدی از فک ارائه می دهند، در روش های سه بعدی می توان ساختار ها را از زوایای مختلف چرخاند، برش های سطحی و عمقی ایجاد کرد و اندازه گیری های بسیار دقیق تری انجام داد. مهم ترین فناوری سه بعدی در دندانپزشکی و جراحی فک، سی بی سی تی است که مخفف Cone Beam Computed Tomography می باشد. این روش با استفاده از یک پرتو مخروطی شکل اشعه ایکس، حجم کاملی از فک و صورت را اسکن و سپس با نرم افزار، مدل سه بعدی بازسازی می کند. برای جراح فک و صورت، این مدل مثل یک نقشه دقیق است که قبل از عمل، تمام جزئیات را نشان می دهد.

هدف از استفاده تصویربرداری سه بعدی فقط تهیه تصویر زیبا و واضح نیست، بلکه کمک به تصمیم گیری بهتر درمانی است. مثلا در بیمارانی که دچار جلو بودن بیش از حد فک پایین، عقب بودن فک بالا، عدم تقارن صورت یا مشکلات bite هستند، تصویر سه بعدی به پزشک کمک می کند محل دقیق مشکل را شناسایی کند، حجم جابه جایی استخوان را با دقت میلی متری محاسبه کند و حتی نتیجه جراحی را به صورت شبیه سازی شده به بیمار نشان دهد. از طرفی این فناوری در تشخیص موقعیت دقیق ریشه دندان ها، مسیر عصب آلوئولار تحتانی، ضایعات کیستیک و تومور ها، شکستگی های پیچیده و وضعیت راه هوایی نیز نقش مهمی دارد. بنابراین وقتی از نقش تصویربرداری سه بعدی در جراحی فک صحبت می کنیم، منظور یک ابزار مکمل و حیاتی در کنار معاینه بالینی، تست های دیگر و تجربه جراح است، نه جایگزین کامل آنها.
تصویربرداری سه بعدی در مقایسه با رادیوگرافی دو بعدی فک
سال ها در دندانپزشکی و جراحی فک از رادیوگرافی های دو بعدی مانند پانورامیک، سفالومتری جانبی و تصاویر پری اپیکال برای تشخیص استفاده می شد و هنوز هم در بسیاری موارد این روش ها کافی و مفید هستند. اما محدودیت اصلی این تصاویر، روی هم افتادن ساختار ها، بزرگنمایی غیر یکنواخت، اعوجاج و ناتوانی در تشخیص عمق و بعد سوم است. مثلا ممکن است ریشه یک دندان نهفته در دو بعد به نظر نزدیک به عصب نباشد، ولی در واقع در بعد سوم بسیار به آن نزدیک یا حتی در تماس باشد. یا عدم تقارن های فکی در نما های دو بعدی به خوبی نمایان نشوند و بخشی از اطلاعات از دست برود. در مقابل، تصویربرداری سه بعدی به پزشک اجازه می دهد حجم استخوان و دندان را از هر زاویه ببیند، فاصله ها را دقیق اندازه بگیرد و بر اساس داده های واقعی تر تصمیم بگیرد.

البته این به معنی کنار گذاشتن کامل رادیوگرافی دو بعدی نیست. در بسیاری از موارد ساده، رادیوگرافی پانورامیک یا سفالومتری برای ارزیابی اولیه کافی است و نیازی به هزینه و اشعه بیشتر سی بی سی تی نیست. اما در مواردی که نیاز به جراحی فک، ایمپلنت های متعدد، پیوند استخوان گسترده یا بررسی تومور ها و ضایعات پیچیده داریم، تصویربرداری سه بعدی تبدیل به استاندارد طلایی تشخیص و برنامه ریزی می شود. تصمیم گیری درباره نوع تصویربرداری مناسب، بر عهده دندانپزشک یا جراح فک و صورت است که با توجه به نوع مشکل، سن بیمار، وضعیت سلامت عمومی و معیار های ایمنی اشعه، بهترین گزینه را انتخاب می کند. بنابراین نقش تصویربرداری سه بعدی مکمل، تکمیل کننده و ارتقا دهنده دقت تشخیص نسبت به روش های دو بعدی است، نه جایگزین صد در صد آنها.
انواع فناوری تصویربرداری سه بعدی در فک و صورت
در حوزه فک و صورت، چند نوع اصلی فناوری برای تصویربرداری سه بعدی وجود دارد که هر کدام کاربرد و ویژگی های خاص خود را دارند. رایج ترین و شناخته شده ترین روش، سی بی سی تی است که به طور گسترده در مطب های دندانپزشکی و کلینیک های جراحی فک و صورت استفاده می شود. سی بی سی تی نسبت به سی تی اسکن پزشکی، دوز اشعه کمتری دارد، دستگاه آن کوچک تر و مناسب مطب است و برای بررسی ساختار های استخوانی و دندان ها دقت بالایی ارائه می دهد. این روش برای برنامه ریزی جراحی فک، ایمپلنت، کشیدن دندان های نهفته، بررسی مفصل فکی گیجگاهی، ضایعات استخوانی و ارزیابی راه هوایی بسیار مفید است. نوع دیگر، سی تی اسکن پزشکی معمولی است که در بیمارستان ها استفاده می شود و برای موارد پیچیده تر، تروما های شدید و بررسی همزمان بافت نرم و استخوان کاربرد دارد.
علاوه بر این دو، در سال های اخیر اسکن های نوری و لیزری داخل دهانی و صورت نیز توسعه یافته اند که مدل سه بعدی از دندان ها و بافت نرم صورت ایجاد می کنند، اما بدون اشعه ایکس. این اسکن ها بیشتر برای طراحی لبخند دیجیتال، ساخت گاید جراحی، طراحی پلاک های ارتودنسی و ترکیب با داده های سی بی سی تی استفاده می شوند. همچنین ام آر آی سه بعدی برای بررسی بافت های نرم مانند مفصل فکی گیجگاهی، دیسک مفصلی و عضلات کاربرد دارد، هرچند برای استخوان جزئیات سی تی را ندارد. در بسیاری از کلینیک های پیشرفته، ترکیب داده های سی بی سی تی، اسکن داخل دهانی و اسکن صورت برای ساخت یک مدل سه بعدی کامل از بیمار استفاده می شود که دقت برنامه ریزی جراحی فک و ارزیابی نتیجه زیبایی را به شکل چشمگیری افزایش می دهد.
نقش تصویربرداری سه بعدی در تشخیص ناهنجاری های اسکلتی فک
ناهنجاری های اسکلتی فک مانند جلو بودن بیش از حد فک پایین، عقب بودن فک بالا، انحراف چانه به یک سمت، رشد ناکافی یا بیش از حد فک ها و مشکلات ترکیبی فک و صورت، معمولا با معاینه ظاهری و سفالومتری دو بعدی تا حدی قابل تشخیص هستند. اما برای تصمیم گیری دقیق در مورد نوع و میزان جراحی، تصویربرداری سه بعدی نقش کلیدی دارد. سی بی سی تی به جراح اجازه می دهد طول، عرض و ارتفاع فک ها را در سه بعد اندازه گیری کند، عدم تقارن ها را به صورت عددی و قابل مقایسه ببیند و رابطه فک ها با راه هوایی، سینوس ها و مفاصل را ارزیابی کند. مثلا در بیماری که احتمال انسداد راه هوایی و آپنه خواب دارد، می توان ضخامت و حجم راه هوایی خلف زبان و پشت کام نرم را در مدل سه بعدی بررسی کرد و تاثیر جراحی فک بر بهبود یا بدتر شدن آن را پیش بینی کرد.

همچنین تصویربرداری سه بعدی به تشخیص ضایعات پنهان در استخوان فک کمک می کند؛ ضایعاتی مانند کیست ها، تومور ها، نواحی جذب استخوان، شکستگی های قدیمی یا جوش نخورده و تغییرات مفصل فکی گیجگاهی که ممکن است در تصاویر دو بعدی به راحتی دیده نشوند. این اطلاعات برای برنامه ریزی جراحی بسیار حیاتی است، زیرا وجود یک ضایعه پنهان در مسیر برش جراحی یا نزدیک ریشه دندان ها می تواند ریسک آسیب حین عمل را بالا ببرد. در کودکان و نوجوانان که هنوز رشد فک کامل نشده، تصویربرداری سه بعدی به پزشک کمک می کند وضعیت صفحات رشد، رویش دندان های دائمی و رابطه آنها با فک را بهتر درک کند و بین درمان ارتودنسی و جراحی فک بهترین زمان بندی را انتخاب کند.
نقش تصویربرداری سه بعدی در برنامه ریزی جراحی فک
برنامه ریزی جراحی فک فرایندی بسیار دقیق و چند مرحله ای است که باید با همکاری نزدیک جراح فک و صورت، ارتودنتیست و گاهی متخصص خواب، گفتار درمانگر و جراح پلاستیک صورت انجام شود. تصویربرداری سه بعدی قلب این برنامه ریزی است. پس از تهیه سی بی سی تی، تصاویر به نرم افزار های تخصصی منتقل می شود و در آنجا جراح می تواند مدل سه بعدی فک ها را مشاهده، برش های مجازی ایجاد و حرکت های مختلف استخوان را شبیه سازی کند. این شبیه سازی شامل جابه جایی فک بالا و پایین در سه محور، چرخش ها، اصلاح عدم تقارن ها و حتی بررسی تاثیر این جابه جایی ها بر روی پروفایل صورت و لبخند است. به کمک این نرم افزار ها، جراح می تواند قبل از ورود به اتاق عمل، نسخه ای بسیار نزدیک به واقعیت از نتیجه را ببیند.
این نوع برنامه ریزی دیجیتال نه تنها دقت را بالا می برد، بلکه زمان جراحی را کوتاه تر و ریسک خطا را کاهش می دهد. علاوه بر این، از روی داده های سه بعدی می توان گاید های جراحی یا اسپلینت های راهنما چاپ سه بعدی کرد که در اتاق عمل مانند یک قالب دقیق روی دندان ها و فک بیمار قرار می گیرد و به جراح نشان می دهد فک ها دقیقا باید در چه موقعیتی فیکس شوند. این روش نسبت به روش های سنتی که بر اساس اندازه گیری های دستی و مدل های گچی بود، خطای بسیار کمتری دارد. همچنین امکان ذخیره سازی فایل ها و مقایسه قبل و بعد از جراحی وجود دارد که برای ارزیابی نتیجه، آموزش و حتی امور قانونی ارزشمند است. در نهایت، برنامه ریزی سه بعدی به جراح اجازه می دهد به صورت فرد محور و اختصاصی برای هر بیمار طرح درمان ویژه طراحی کند.
کاربرد تصویربرداری سه بعدی در جراحی ارتوگناتیک و اصلاح ناهنجاری فک
جراحی ارتوگناتیک یا جراحی اصلاح ناهنجاری های فک، یکی از پیچیده ترین جراحی ها در حوزه فک و صورت است که هدف آن اصلاح رابطه فک بالا و پایین، بهبود عملکرد جویدن و صحبت کردن و همچنین بهبود زیبایی چهره است. در این جراحی معمولا نیاز است بخش هایی از استخوان فک برش داده و در موقعیت جدید فیکس شود. کوچک ترین اشتباه در محاسبه زاویه و میزان جابه جایی می تواند باعث ایجاد مشکلات جدید در bite، درد مفصل، عدم تقارن یا نارضایتی ظاهری شود. به همین دلیل تصویربرداری سه بعدی به عنوان استاندارد جدید در برنامه ریزی جراحی ارتوگناتیک شناخته می شود. مطالعات جدید نشان داده اند استفاده از سی بی سی تی و برنامه ریزی دیجیتال سه بعدی، دقت پیش بینی نتایج جراحی و تطابق طرح قبل از عمل با نتیجه واقعی را به طور قابل توجهی افزایش می دهد.

در عمل، ابتدا سی بی سی تی و اسکن داخل دهانی از بیمار گرفته می شود و سپس هر دو در نرم افزار ادغام می شوند تا مدل سه بعدی دقیق دندان ها و فک ساخته شود. سپس جراح و ارتودنتیست روی این مدل، جابه جایی های لازم را شبیه سازی می کنند و بر اساس آن، اسپلینت های جراحی چاپ سه بعدی می سازند. حتی در برخی مراکز پیشرفته از گاید های برش اختصاصی استفاده می شود که روی استخوان می نشینند و محل دقیق برش ها را نشان می دهند. در نهایت، با استفاده از این ابزار ها، نتیجه جراحی به طرح دیجیتال بسیار نزدیک می شود. برای بیمار نیز دیدن شبیه سازی سه بعدی قبل از عمل، باعث درک بهتر از فرایند، کاهش استرس و تصمیم گیری آگاهانه تر می شود. این روند کاملا در راستای استاندارد های روز دنیا برای مراقبت های پزشکی با کیفیت بالاتر و فرد محور است.
نقش تصویربرداری سه بعدی در ایمپلنت، پیوند استخوان و جراحی های همراه
بسیاری از بیمارانی که نیاز به جراحی فک دارند، همزمان به درمان های دیگر مانند ایمپلنت های دندانی، پیوند استخوان در فک بالا یا پایین، کشیدن دندان های نهفته و اصلاح نقص های استخوانی نیز احتیاج دارند. تصویربرداری سه بعدی در همه این موارد نقش مهمی ایفا می کند. در ایمپلنت، سی بی سی تی امکان اندازه گیری دقیق ارتفاع، عرض و زاویه استخوان را فراهم می کند و محل دقیق عصب تحتانی، سینوس فکی و ساختار های حساس دیگر را نشان می دهد. با استفاده از این اطلاعات، می توان محل و زاویه ایمپلنت ها را به صورت مجازی طراحی کرد و گاید جراحی ایمپلنت ساخت که دقت قرار دادن فیکسچر را بسیار بالا می برد و ریسک آسیب عصب یا سوراخ شدن سینوس را کاهش می دهد. همچنین در پیوند استخوان برای افزایش ارتفاع سینوس یا بازسازی نقص های استخوانی، حجم کمبود استخوان و محل مناسب برداشت و قرار دادن گرافت با کمک سی بی سی تی به خوبی مشخص می شود.
در مورد دندان های نهفته مانند دندان عقل نهفته یا نیش نهفته، تصویربرداری سه بعدی به طور دقیق موقعیت دندان نسبت به ریشه های مجاور و عصب ها را مشخص می کند. این موضوع برای کاهش خطر آسیب به عصب و ریشه های سالم حین جراحی بسیار مهم است. علاوه بر این، در ضایعات پاتولوژیک مانند کیست ها و تومور ها، تصویربرداری سه بعدی مرز ضایعه، عمق درگیری استخوان و ارتباط با ساختار های مهم را نشان می دهد و به جراح کمک می کند نوع و وسعت جراحی را بهتر برنامه ریزی کند. ترکیب داده های سه بعدی با چاپ سه بعدی امکان ساخت مدل های فیزیکی از فک بیمار را نیز فراهم کرده است که برای تمرین قبل از عمل، آموزش دانشجویان و توضیح طرح درمان به بیمار بسیار کاربردی است. همه این موارد نشان می دهد که نقش تصویربرداری سه بعدی فقط محدود به خود جراحی فک نیست، بلکه در تمام اقدامات همراه و تکمیلی نیز اهمیت دارد.
مزایا و معایب تصویربرداری سه بعدی در جراحی فک
مانند هر فناوری پزشکی، تصویربرداری سه بعدی مزایا و معایب خاص خود را دارد و تصمیم برای استفاده از آن باید بر اساس توازن بین سود و ریسک برای هر بیمار گرفته شود. از مهم ترین مزایا می توان به موارد زیر اشاره کرد:
- افزایش دقت تشخیص ناهنجاری های فکی، ضایعات و موقعیت دندان ها و عصب ها
- امکان برنامه ریزی دیجیتال و شبیه سازی جراحی با دقت میلی متری
- کاهش ریسک عوارض جراحی مانند آسیب عصب، عدم تقارن و نیاز به جراحی مجدد
- کاهش مدت جراحی به دلیل روشن بودن نقشه عمل برای جراح
- افزایش رضایت بیمار به دلیل امکان مشاهده شبیه سازی نتیجه قبل از عمل
- امکان ساخت گاید های جراحی، اسپلینت ها و مدل های چاپ سه بعدی
در مقابل، چند محدودیت و نکته منفی نیز وجود دارد. اول این که هرچند دوز اشعه سی بی سی تی نسبت به سی تی پزشکی کمتر است، اما همچنان از رادیوگرافی های دو بعدی بالاتر است و باید با رعایت اصل حداقل دوز لازم استفاده شود. دوم این که هزینه تصویربرداری سه بعدی و نرم افزار های برنامه ریزی دیجیتال برای بیمار و سیستم درمانی بالاتر است و همیشه بیمه ها همه آن را پوشش نمی دهند. سوم، تفسیر صحیح تصاویر سه بعدی نیازمند آموزش و تجربه است و اگر به درستی انجام نشود، ممکن است منجر به تصمیم های نادرست شود. همچنین در برخی موارد، کیفیت تصویر به علت حرکت بیمار، وجود فلزات یا محدودیت های دستگاه ممکن است کاهش یابد. بنابراین، تصمیم به استفاده از تصویربرداری سه بعدی باید توسط پزشک و بر اساس ضرورت بالینی، شرایط بیمار و فواید مورد انتظار گرفته شود.
ایمنی، دوز اشعه و نکات احتیاطی در تصویربرداری سه بعدی فک
یکی از مهم ترین نگرانی های بیماران در مورد تصویربرداری سه بعدی، میزان اشعه ایکس و اثر آن بر سلامت است. مطالعات نشان داده اند دوز اشعه سی بی سی تی در بسیاری از پروتکل های استاندارد، چند برابر بیشتر از یک رادیوگرافی پانورامیک ولی به طور قابل توجهی کمتر از سی تی پزشکی سر و صورت است. با این حال، اصل کلی در تصویربرداری پزشکی رعایت اصل ALARA یا As Low As Reasonably Achievable یعنی پایین ترین دوز ممکن که هنوز تصویر تشخیصی مناسب ارائه دهد، است. به همین دلیل، انتخاب فیلد دید محدود، تنظیم پارامتر های دستگاه بر اساس سن و جثه بیمار، و پرهیز از تکرار غیر ضروری تصاویر، از اصول حیاتی در استفاده ایمن از سی بی سی تی است. در کودکان، زنان باردار و افراد با سابقه دریافت اشعه بالا، تصمیم گیری درباره لزوم تصویربرداری سه بعدی با دقت بیشتری انجام می شود.
برای کاهش ریسک های احتمالی، استفاده از محافظ های تیروئید و سربی به شکل مناسب، توجیه بالینی درخواست هر تصویر، و ثبت دقیق سوابق تصویربرداری بیمار ضروری است. سازمان های علمی مانند انجمن رادیولوژی دهان و فک و صورت و انجمن های جراحی دهان و فک و صورت، راهنما هایی برای استفاده مناسب از سی بی سی تی منتشر کرده اند که بر اساس تحقیقات به روز تدوین شده اند. در نهایت باید تاکید کرد که وقتی تصویربرداری سه بعدی واقعا ضروری باشد و تصمیم جراحی بر پایه آن شکل بگیرد، فواید آن در افزایش دقت و کاهش عوارض جراحی معمولا از ریسک محدود اشعه بیشتر است. اگر در مورد دوز اشعه یا ضرورت انجام سی بی سی تی نگرانی دارید، بهترین کار مطرح کردن سوالات خود با جراح یا دندانپزشک و دریافت توضیحات شفاف از او است تا با خیال راحت تر تصمیم بگیرید.
آینده تصویربرداری سه بعدی در جراحی فک: هوش مصنوعی و واقعیت مجازی
فناوری تصویربرداری سه بعدی در حوزه فک و صورت در حال توقف نیست و هر روز با ترکیب با تکنولوژی های جدید، قدرتمند تر می شود. یکی از مهم ترین روند ها، استفاده از هوش مصنوعی برای تحلیل خودکار تصاویر سه بعدی است. الگوریتم های یادگیری عمیق می توانند به صورت خودکار ساختار هایی مانند دندان ها، عصب ها و مفصل ها را در سی بی سی تی شناسایی و segmentation انجام دهند، اندازه گیری ها را اتوماتیک کنند و حتی الگو های غیر طبیعی را تشخیص دهند. این موضوع می تواند هم دقت تشخیص را افزایش دهد و هم زمان تفسیر را برای پزشک کاهش دهد. مقالات اخیر نشان داده اند که در برخی وظایف خاص، دقت هوش مصنوعی در تشخیص برخی ناهنجاری ها نزدیک به متخصصان با تجربه است، البته همچنان نقش نهایی پزشک در تایید و تصمیم گیری غیر قابل جایگزین است.
در کنار هوش مصنوعی، واقعیت مجازی و واقعیت افزوده نیز وارد حوزه جراحی فک شده اند. با استفاده از هدست های واقعیت مجازی، جراح می تواند قبل از عمل، به صورت سه بعدی در مدل فک بیمار حرکت کند، برش ها را تمرین کند و حتی سناریو های مختلف را امتحان کند. در اتاق عمل، واقعیت افزوده می تواند با نمایش همزمان داده های سه بعدی روی میدان جراحی، به جراح کمک کند جهت و عمق برش ها را بهتر کنترل کند. سیستم های ناوبری جراحی که مانند جی پی اس در حین عمل موقعیت ابزار جراحی را نسبت به تصاویر سه بعدی نشان می دهند، نمونه ای از این آینده نزدیک هستند و در برخی مراکز پیشرفته دنیا برای ایمپلنت و جراحی فک استفاده می شوند. به نظر می رسد در سال های آینده، ترکیب سی بی سی تی، هوش مصنوعی، ناوبری جراحی و چاپ سه بعدی، استاندارد جدیدی در مراقبت از بیماران با ناهنجاری های فک و صورت ایجاد کند.
جدول مقایسه تصویربرداری سه بعدی و دو بعدی در جراحی فک
| ویژگی | تصویربرداری دو بعدی (پانورامیک، سفالومتری) | تصویربرداری سه بعدی (سی بی سی تی) |
|---|---|---|
| نوع تصویر | تخت و دو بعدی، بدون نمایش عمق | حجمی و سه بعدی با قابلیت چرخش و برش در همه جهات |
| تشخیص ناهنجاری های پیچیده فک | محدود، امکان روی هم افتادن ساختار ها | بسیار دقیق، امکان بررسی عدم تقارن ها و ابعاد مختلف |
| برنامه ریزی جراحی فک | امکان محدود برای اندازه گیری و پیش بینی | امکان شبیه سازی دیجیتال، ساخت گاید و اسپلینت جراحی |
| دوز اشعه | کمتر | بیشتر از دو بعدی، کمتر از سی تی پزشکی |
| هزینه | کمتر | بیشتر، نیازمند تجهیزات و نرم افزار پیشرفته |
| کاربرد در ایمپلنت و پیوند استخوان | محدود، عدم نمایش دقیق حجم استخوان | بسیار مناسب، نمایش دقیق ارتفاع، عرض و مسیر عصب |
جمع بندی نقش تصویربرداری سه بعدی در تشخیص و جراحی فک
تصویربرداری سه بعدی به ویژه با فناوری سی بی سی تی، در سال های اخیر به یکی از ارکان اصلی در تشخیص و برنامه ریزی درمان در جراحی فک و صورت تبدیل شده است. این فناوری با ارائه تصویر حجمی و دقیق از فک ها، دندان ها، مفاصل و راه هوایی، به جراح کمک می کند ناهنجاری های اسکلتی و دندانی را بهتر بشناسد، ضایعات پنهان را کشف کند و برای جراحی های پیچیده مانند ارتوگناتیک، ایمپلنت های گسترده و پیوند های استخوانی برنامه ریزی دقیق تری انجام دهد. استفاده از نرم افزار های سه بعدی و چاپ سه بعدی اسپلینت ها و گاید های جراحی، باعث شده است نتیجه واقعی جراحی به طرح پیشنهادی بسیار نزدیک شود و ریسک عوارض و نیاز به اصلاح مجدد کاهش یابد.
در عین حال، باید به یاد داشت که تصویربرداری سه بعدی یک ابزار کمکی است و جایگزین معاینه حضوری، تجربه بالینی و قضاوت تخصصی جراح نمی شود. همچنین موضوع دوز اشعه، هزینه و نیاز به تفسیر صحیح تصاویر، از مواردی است که باید با دقت به آنها توجه شود. اگر شما یا یکی از نزدیکان نیاز به جراحی فک دارید، بهترین کار این است که با یک متخصص جراحی دهان و فک و صورت مشورت کنید تا بر اساس شرایط فردی، بیماری زمینه ای و نوع مشکل فکی شما تصمیم بگیرد چه نوع تصویربرداری لازم است. این مقاله صرفا برای آگاهی عمومی نوشته شده و به هیچ عنوان جایگزین تشخیص و توصیه های اختصاصی پزشک نیست.
سوالات متداول درباره تصویربرداری سه بعدی در جراحی فک
آیا تصویربرداری سه بعدی برای همه بیمارانی که جراحی فک دارند ضروری است؟
خیر. اگرچه تصویربرداری سه بعدی در بسیاری از جراحی های فک به شدت مفید و حتی ضروری است، اما برای همه بیماران لازم نیست. در موارد ساده تر یا جراحی های محدود، گاهی رادیوگرافی های دو بعدی برای تصمیم گیری کافی هستند. تصمیم نهایی به عهده جراح است که با توجه به نوع ناهنجاری، پیچیدگی عمل، سن بیمار و سوابق پزشکی، تشخیص می دهد آیا مزایای تصویربرداری سه بعدی از نظر افزایش دقت و ایمنی، از دوز اشعه و هزینه آن بیشتر است یا خیر. اگر جراح شما سی بی سی تی را پیشنهاد کرده، معمولا به این دلیل است که اطلاعات دو بعدی برای یک برنامه ریزی دقیق کافی نیست.
دوز اشعه سی بی سی تی چقدر است و آیا برای سلامتی خطرناک است؟
دوز اشعه سی بی سی تی بستگی به نوع دستگاه، تنظیمات و وسعت ناحیه تصویربرداری دارد، اما به طور کلی بیشتر از یک رادیوگرافی پانورامیک و به طور قابل توجهی کمتر از یک سی تی اسکن پزشکی کامل سر و صورت است. براساس راهنما های علمی، وقتی سی بی سی تی با اندیکاسیون درست و تنظیمات مناسب انجام شود، ریسک آن برای افراد سالم بسیار پایین است و در مقابل، اطلاعاتی که برای افزایش دقت و کاهش عوارض جراحی می دهد، ارزشمند است. با این حال، در کودکان، زنان باردار و افرادی که قبلا اشعه زیادی دریافت کرده اند، باید با حساسیت بیشتری تصمیم گرفت. اگر نگرانی خاصی دارید، حتما موضوع را با پزشک خود مطرح کنید تا توضیح کامل تری درباره دوز و لزوم انجام این تصویربرداری بدهد.
آیا با تصویربرداری سه بعدی می توان نتیجه نهایی جراحی فک را قبل از عمل دید؟
تا حد زیادی بله. نرم افزار های سه بعدی امروزی این امکان را می دهند که جراح، فک ها را به صورت مجازی جابه جا و اصلاح کند و نتیجه را از زوایای مختلف، هم از نظر رابطه دندان ها و هم از نظر فرم صورت و پروفایل، مشاهده کند. بسیاری از کلینیک ها این شبیه سازی را به بیمار نیز نشان می دهند تا درک بهتری از نتیجه تقریبی داشته باشد. البته باید توجه داشت که این تصاویر شبیه سازی هستند و نتیجه واقعی ممکن است کمی متفاوت باشد، چون عواملی مانند واکنش بافت نرم، ترمیم، تورم و تطابق عضلات قابل پیش بینی صد در صد نیستند. اما به طور کلی، استفاده از تصویربرداری سه بعدی و شبیه سازی دیجیتال، دقت پیش بینی را نسبت به روش های سنتی به شکل محسوسی افزایش داده است.
منابع علمی و رفرنس ها
- Pauwels R, Jacobs R, Bogaerts R, et al. Effective dose range for dental cone beam computed tomography scanners. Eur J Radiol. https://doi.org/10.1016/j.ejrad.2012.02.001
- Souki BQ, et al. Three-dimensional imaging in orthognathic surgery: a systematic review. Int J Oral Maxillofac Surg. https://doi.org/10.1016/j.ijom.2020.01.019
- The Role of 3D Imaging in Oral Surgery – Portland Oral & Facial Surgery, 2025. https://portlandoralfacialsurgery.com/the-role-of-3d-imaging-in-oral-surgery/
- Advanced 3D Imaging – West Jersey Oral, Maxillofacial & Dental Implant Surgery. https://westjerseyoms.com/3d-imaging/
- Advanced 3D Imaging in Jaw Surgery Planning – Vineyard Orthodontics. https://vineyardorthopedo.com/advanced-3d-imaging-in-jaw-surgery-planning/




